Karaman’da 6 aylık E.A. isimli kız bebek, yutkunma zorluğu ve solunum sıkıntısı şikayetleriyle hastaneye kaldırıldı.
Haber Giriş Tarihi: 07.01.2026 13:09
Haber Güncellenme Tarihi: 07.01.2026 13:11
Kaynak:
İHA
Yapılan tetkiklerde boğazına kumanda pili kaçtığı tespit edilen minik bebek, acilen ameliyata alındı. Zamanında müdahale sayesinde ölümden dönen bebek, kısa sürede sağlığına kavuşarak taburcu edildi.
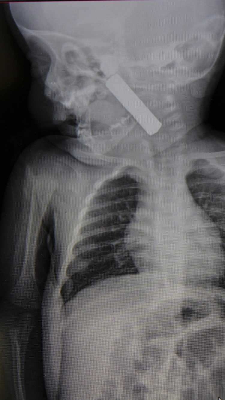
BOĞAZINA KAÇAN PİL, YEMEK BORUSUNU TIKADI
Edinilen bilgiye göre, Karaman’da yaşayan bir aile 6 aylık bebekleri E.A.’yı kusma ve nefes almada zorlanma şikayetiyle Karaman Eğitim ve Araştırma Hastanesi’ne getirdi. Acil serviste yapılan ilk müdahale ve tetkikler sonucunda, bebeğin boğazına yabancı bir cisim kaçtığı tespit edildi. Çekilen röntgen ve yapılan detaylı muayenede, boğazın alt kısmında kumanda pili olduğu ortaya çıktı.
HAYATİ RİSK TAŞIYAN DURUM HIZLA FARK EDİLDİ
Durumun ciddiyetini değerlendiren sağlık ekipleri, bebeğin solunumunun giderek zorlaştığını ve kandaki oksijen seviyesinin düştüğünü belirledi. Bunun üzerine Çocuk Cerrahisi Uzmanı Doç. Dr. Mehmet Uysal liderliğindeki ekip, vakit kaybetmeden bebeği ameliyata aldı.
Ameliyat sonrası açıklama yapan Doç. Dr. Uysal, şu bilgileri verdi: “Hastamızı gördüğümüzde siyanotik durumdaydı, yani morarmaya başlamıştı. Oksijen satürasyonu 90 civarındaydı. Röntgende ve muayenede, yemek borusunun üst kısmına kadar ilerlemiş bir kumanda pili tespit ettik. Hızla ameliyathaneye aldık. Ekibimizle birlikte, laringoskop ve özel aletlerle pili çıkardık. Müdahale sırasında ağız tabanında hasar oluşmuştu ama zamanında müdahale sayesinde bu hasar kalıcı olmadı. 24 saat boyunca gözlem altında tuttuk ve solunum sorunu kalmayınca bebeği taburcu ettik.”
“ÖLÜMLE SONUÇLANABİLİRDİ” UYARISI
Doç. Dr. Uysal, bu tür olayların özellikle 1 yaş altındaki bebeklerde sıkça yaşanabileceğine dikkat çekerek aileleri uyardı: “Çocuklar doğası gereği çevresini tanımaya çalışır ve ellerine aldıkları her nesneyi ağızlarına götürürler. Bu nedenle özellikle evde küçük pil, bozuk para, oyuncak parçası gibi cisimlerin ortalıkta bırakılmaması gerekiyor. Bu olayda erken müdahale hayat kurtardı. Ancak geç kalınsaydı sonuç çok daha kötü olabilirdi. Kumanda pili gibi nesneler, içerdikleri kimyasallar ve fiziksel baskı nedeniyle ciddi hasar oluşturabiliyor.”
MİNİK E.A. TABURCU EDİLDİ
24 saat gözlem altında tutulan minik bebek, sağlık durumunun normale dönmesiyle birlikte ailesine teslim edildi. Şu an için herhangi bir kalıcı sağlık sorunu bulunmayan bebeğin gelişimi doktorlar tarafından takip edilmeye devam edecek.
Sizlere daha iyi hizmet sunabilmek adına sitemizde çerez konumlandırmaktayız. Kişisel verileriniz, KVKK ve GDPR
kapsamında toplanıp işlenir. Sitemizi kullanarak, çerezleri kullanmamızı kabul etmiş olacaksınız.
En son gelişmelerden anında haberdar olmak için 'İZİN VER' butonuna tıklayınız.
BOĞAZINA KUMANDA PİLİ KAÇAN BEBEK ÖLÜMDEN DÖNDÜ
Karaman’da 6 aylık E.A. isimli kız bebek, yutkunma zorluğu ve solunum sıkıntısı şikayetleriyle hastaneye kaldırıldı.
Yapılan tetkiklerde boğazına kumanda pili kaçtığı tespit edilen minik bebek, acilen ameliyata alındı. Zamanında müdahale sayesinde ölümden dönen bebek, kısa sürede sağlığına kavuşarak taburcu edildi.
BOĞAZINA KAÇAN PİL, YEMEK BORUSUNU TIKADI
Edinilen bilgiye göre, Karaman’da yaşayan bir aile 6 aylık bebekleri E.A.’yı kusma ve nefes almada zorlanma şikayetiyle Karaman Eğitim ve Araştırma Hastanesi’ne getirdi. Acil serviste yapılan ilk müdahale ve tetkikler sonucunda, bebeğin boğazına yabancı bir cisim kaçtığı tespit edildi. Çekilen röntgen ve yapılan detaylı muayenede, boğazın alt kısmında kumanda pili olduğu ortaya çıktı.
HAYATİ RİSK TAŞIYAN DURUM HIZLA FARK EDİLDİ
Durumun ciddiyetini değerlendiren sağlık ekipleri, bebeğin solunumunun giderek zorlaştığını ve kandaki oksijen seviyesinin düştüğünü belirledi. Bunun üzerine Çocuk Cerrahisi Uzmanı Doç. Dr. Mehmet Uysal liderliğindeki ekip, vakit kaybetmeden bebeği ameliyata aldı.
Ameliyat sonrası açıklama yapan Doç. Dr. Uysal, şu bilgileri verdi: “Hastamızı gördüğümüzde siyanotik durumdaydı, yani morarmaya başlamıştı. Oksijen satürasyonu 90 civarındaydı. Röntgende ve muayenede, yemek borusunun üst kısmına kadar ilerlemiş bir kumanda pili tespit ettik. Hızla ameliyathaneye aldık. Ekibimizle birlikte, laringoskop ve özel aletlerle pili çıkardık. Müdahale sırasında ağız tabanında hasar oluşmuştu ama zamanında müdahale sayesinde bu hasar kalıcı olmadı. 24 saat boyunca gözlem altında tuttuk ve solunum sorunu kalmayınca bebeği taburcu ettik.”
“ÖLÜMLE SONUÇLANABİLİRDİ” UYARISI
Doç. Dr. Uysal, bu tür olayların özellikle 1 yaş altındaki bebeklerde sıkça yaşanabileceğine dikkat çekerek aileleri uyardı: “Çocuklar doğası gereği çevresini tanımaya çalışır ve ellerine aldıkları her nesneyi ağızlarına götürürler. Bu nedenle özellikle evde küçük pil, bozuk para, oyuncak parçası gibi cisimlerin ortalıkta bırakılmaması gerekiyor. Bu olayda erken müdahale hayat kurtardı. Ancak geç kalınsaydı sonuç çok daha kötü olabilirdi. Kumanda pili gibi nesneler, içerdikleri kimyasallar ve fiziksel baskı nedeniyle ciddi hasar oluşturabiliyor.”
MİNİK E.A. TABURCU EDİLDİ
24 saat gözlem altında tutulan minik bebek, sağlık durumunun normale dönmesiyle birlikte ailesine teslim edildi. Şu an için herhangi bir kalıcı sağlık sorunu bulunmayan bebeğin gelişimi doktorlar tarafından takip edilmeye devam edecek.
Kaynak: İHA
En Çok Okunan Haberler